
20 loka Pikkuchihun ahtautuneet hengitystiet
Noin 3-vuotias Pikkuchihu tuli jatkotutkimuksiin jo varsin pitkään jatkuneiden hengitystieoireilujen vuoksi.
Koiralla on esiintynyt hengitysvaikeutta ja sen hengitys on ollut tukkoisen kuuloinen jo useamman kuukauden ajan.
KEK:ssa koiran ylähengitystiet tähystettiin rauhoituksessa:
Suuontelo, nenäontelo, nenänielu & henkitorvi aina pienten keuhkoputkien alueelle asti.
Lisäksi otettiin röntgenkuvat ylä- ja alahengitysteistä, sekä tutkittiin verinäytteistä tulehdusarvot.
Röntgenkuvissa todettiin lähes koko matkaltaan selkeästi laskeutunut henkitorven rakenne ja erittäin ahtautunut nielun rakenne johtuen ylipitkästä ja juurestaan paksusta kielen rakenteesta, synnynnäisesti ylipitkästä etuosastaan kaareutuvasta kuonon yläosan rakenteesta, sekä suhteessa liian pienestä alaleuasta.
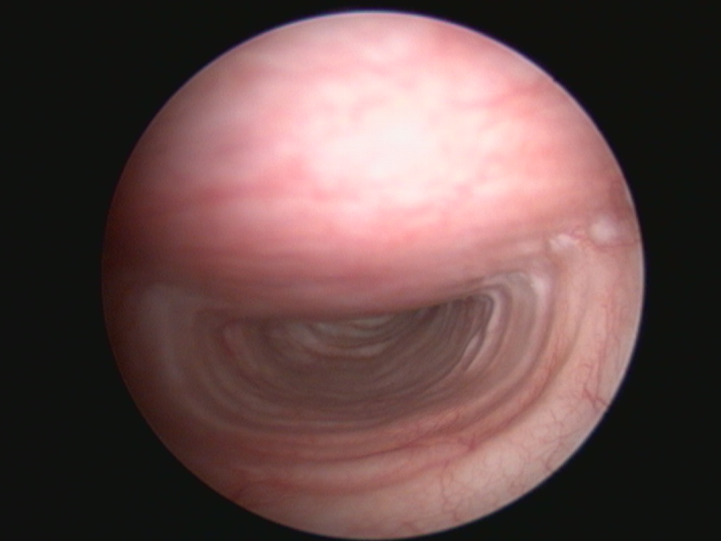
Hengitysteiden tähystyksessä todettiin pitkälle edennyt tracheakollapsi eli henkitorven heikkoustila, jolloin henkitorven rustorenkaat ovat painuneet kasaan ja henkitorven katto osuu vastakkain alaosan kanssa aiheuttaen vakavan ilmankulun esteen sisäänhengitettäessä.
Lisäksi todettiin nielun alueella runsaasti vaahtomaista limaa ja limakalvoturvotusta ahtauttamassa ilmankulkua.
Em. muutokset selittävät oireilun.
Tracheakollapsi yms. anatomiset muutokset aiheuttaa tyypillisesti toistuvia hengitystietulehduksia, hengenahdistusta etenkin sisäänhengityksessä, liman kertymistä nieluun yms. hengitystieongelmia.
Em. vaivoja voidaan hoitaa tarvittaessa lääkityksin ja mikäli se etenee vakavaksi, ongelmaan on mahdollista harkita leikkauksellista hoitoa mutta kirurginen hoito on erittäin vaativa.
Tracheakollapsikoiran elämää helpottaa huomattavasti, kun koira pidetään hoikkana.
Tällöin nielun ja kaulan alueen kudokset eivät aiheuta löysän kasaan painuneen henkitorven lisäkasaanpainumista niin herkästi.
Myös suurta rasitusta aiheuttavaa huippu-urheilua tulee välttää, mutta liikunta etenkin viileällä ilmalla on oikein hyvästä.
* Koira tulee todennäköisesti jatkossa tarvitsemaan jatkuvan tai ainakin helteillä annettavan nesteenpoistolääkityksen.
* Trakeakollapsin hoitoon ja nielussa olevan liman irroitukseen aloitetaan myös lääkitys.